Casos Clínicos

Casos Clínicos

 

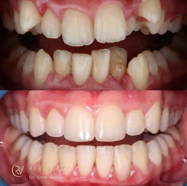
Rehabilitación con coronas de cerámica en la arcada superior.

 

Rehabilitación con coronas de cerámica en la arcada superior. El tratamiento dura aproximadamente 2 meses, lo que permite que la encía se adapte a la nueva forma y logre un resultado estéticamente agradable.

 

Tratamiento de ortodoncia con brackets autoligables.

 

La duración del tratamiento, tanto con brackets como con ortodoncia invisible, depende de cada caso. Por lo general, puede durar entre 1 y 2 años. El profesional siempre aconseja el tipo de tratamiento que mejor se adapte a tus necesidades.

 

Tratamiento de ortodoncia.

 

Mejorando tanto la estética como la funcionalidad de la sonrisa. Cada plan se adapta a las necesidades del paciente para lograr resultados eficaces y duraderos.

 

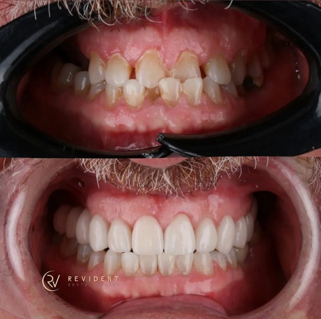
Tratamiento combinado de ortodoncia.

 

Tratamiento combinado de ortodoncia y carillas dentales unitarias: resultado exitoso y paciente altamente satisfecho.

 

Tratamiento manteniendo naturalidad de sonrisa.

 

Nuestra paciente solicitó un tratamiento con coronas dentales que mantuviera la naturalidad de su sonrisa. Nos esforzamos por cumplir con sus expectativas y lograr un resultado armonioso y estético.

https://www.revidentdentalcenter.com/wp-content/uploads/2023/03/logo-revident-dental-center.jpg

En Revident Dental Center situada en el centro de Coslada, tenemos el tratamiento que necesitas para el cuidado de tu boca. Cuidamos tu sonrisa.

Teléfonos

Acceso Rápido

Horario

#image_title
#image_title
bt_bb_section_top_section_coverage_image
×